건강보험 보장성 강화대책 후속 조치로 1일부터 자궁·난소 등 여성생식기 초음파 검사 건강보험 적용 범위가 전면 확대됐다.
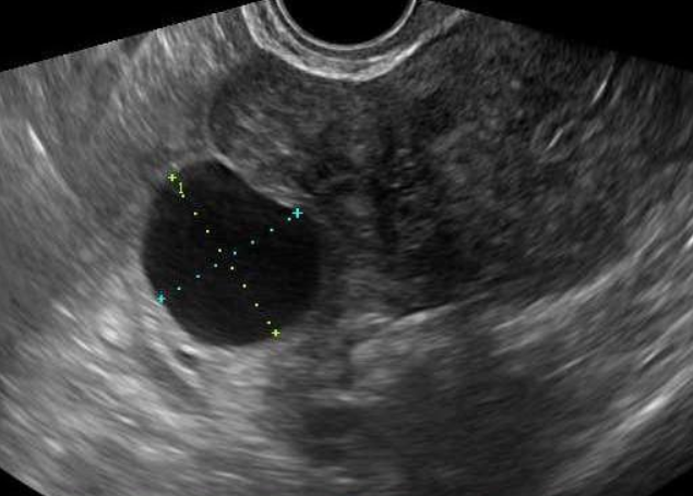
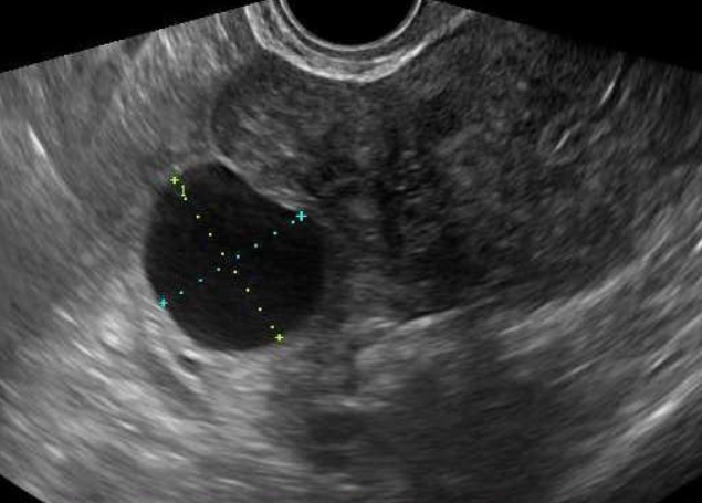
자궁·난소 등의 이상 소견을 확인하는 여성생식기 초음파 검사는 여성에서 흔히 발생하는 질환인 자궁근종, 난소 낭종 등을 진단하기 위한 기본적인 검사방법임에도 불구하고 그간 4대 중증질환(암·심장·뇌혈관·희귀난치)에 한해 제한적으로 건강보험이 적용됐었다.

보건복지부는 4대 중증질환 환자뿐만 아니라 자궁·난소 등 여성생식기 부위에 질환이 있거나 질환이 의심돼 의사가 초음파 검사를 통한 진단이 필요하다고 판단한 경우 건강보험이 적용된다고 밝혔다.
이번 건강보험 적용 확대로 여성생식기 초음파 검사 의료비 부담은 2분의 1에서 4분의 1수준까지 경감된다.
여성생식기 질환의 진단 및 경과관찰에 일반적으로 시행하는 초음파 검사의 비급여로 환자가 전액 부담하고 있다.
건강보험이 적용되면 최초 진단 시에는 진단(일반)초음파 수가의 본인부담 부분 30~60%를 부담하게 돼 환자부담이 기존 대비 약 2분의 1 수준으로 경감된다.
자궁·난소 등 시술·수술 후에 경과관찰을 위해 실시되는 제한적 초음파, 월경과다로 여성병원에 방문한 환자가 자궁내막 용종이 의심되어 외래로 여성생식기 초음파 검사를 받을 경우, 자궁내막 용종 제거술을 받고 경과관찰을 위해 추가로 검사를 받는 경우, 중증의 해부학적 이상 소견이 있어 정밀초음파를 시행하는 경우에도 해당된다.
여성생식기 초음파 검사의 보험적용 범위는 의사의 판단 하에 자궁, 난소, 난관 등에 질환이 있거나 질환을 의심하는 증상이 발생하여 의학적으로 검사가 필요한 경우까지로 확대된다.
이후 새로운 증상이 나타나거나 경과관찰이 필요한 환자의 경우 추가적 검사도 보험이 적용된다.
이번 보장성 강화 조치에 따라 그간 대부분 비급여로 시행되던 여성생식기 초음파 검사의 건강보험 적용 범위가 확대되어 연간 약 600만 명에서 700만 명이 건강보험 혜택을 받을 것이란 전망이다.
보건복지부 예비급여과 손영래 과장은 “자궁‧난소 초음파는 자궁근종, 난소낭종 등 여성들에게 흔한 질환 검사를 위해 일상적으로 시행되는 초음파로, 이번 건강보험 적용으로 대다수의 여성들이 의료비 경감 혜택을 누릴 수 있을 것”이라고 전했다. 또한 “올해 하반기에는 유방을 포함한 흉부 분야 초음파 검사에도 건강보험 적용을 확대할 계획”이라고 밝혔다.
'부인암 및 유방암 클리닉' 카테고리의 다른 글
| 자궁경부암 검진 권고안 (0) | 2020.04.06 |
|---|---|
| 암종별 대상자 연령기준 및 검진주기 (0) | 2020.04.06 |
| 여성 대상 국가암검진 항목 (0) | 2020.02.19 |
| 부인암, 유방암, 갑상선암, 건강검진, 갱년기 클리닉등 여성클리닉 전문병원 - 유웰여성의원 (0) | 2020.02.19 |
| 자궁경부암 무료검진 (0) | 2020.02.19 |
